Телерентгенография – лицева проекция фас

Телерентгенография – лицева проекция фас

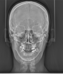
Телерентгенография в лицева проекция дава възможност да се диагностицират изменения, фрактури, възпалителни и неопластични заболявания на костните структури на черепа и лицевите кости.

Рентгеноват снимка на черепа в лицева проекция се използва за диагностициране на фрактури на черепните и лицевите кости. Чрез тази рентгенова снимка могат да се установят вродени аномалии, тумор на хипофизата, както някои метаболитни, ендокринни и възпалителни заболяванияа  водещи до промени в костите на черепа.

Вече сте използвали услуга?

Вижте вашите снимки тук:
Резултати

ENG. I.NIKOLOV