
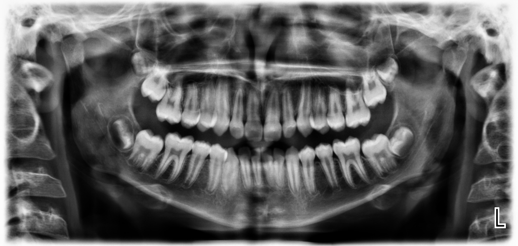
Панорамна рентгенография
Панорамна рентгенова снимка или ортопантомография – ОПГ дава възможност за цялостен обстоен изглед на съзъбието, челюстите, максиларните синуси и темпоромандибуларните стави. Необходима за оценка на общата анатомия на челюстите, околоностните кухини и свързаните с тях патологии.. Панорамната рентгенова снимка е наложен стандарт в ежедневна практика на денталния лекар. Необходима при първоначален преглед за снемане на подробен зъбен статус и изготвяне на добър лечебен план . Чрез панорамната рентгенова снимка могат да бъдат диагностицирани много патолагични процеси, фрактури и травми, кисти и положението им спрямо костта, състоянието на алвеоларния гребен, съотношението между синусния контур и апексите на зъбите, преди и след оперативни интервенции в лицевочелюстната хирургия, при имплантологично лечение, проследяване на апикални и периодонтални изменения, при ортодонско лечение.
