
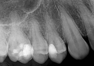
Интраорална сегментна рентгенография по Dick
Основните клинични показания на зъбните снимки са рентгенографска визуализация на целият зъб – включващ коронкова и коренова част на зъба. Този вид зъбни снимки се използват за откриване на патологични изменения в зъбите, периапикални абсцеси и кисти, при ендодонтско лечение, за отценка на пародонта на дадения зъб, при необходимост от зъбна екстракция или друга хирургична интервенция, травма на зъбите, както и проследяване на оздравителния процес след проведено лечение на зъба и пародонта
